ภาษา: ภาษาไทย English

กิจกรรมง เทคโนโลยีจี้เย็นรักษามะเร็งมาพร้อมสิทธิพิเศษครั้งใหญ่!วันเสาร์ที่ 26 กรกฎาคม 2025 เวลา 13:00 – 18:00 น.ที่โรงแรม The Bazaar Bangkok ชั้น 19
ปรึกษาผู้เชี่ยวชาญด้านมะเร็ง ฟรี
ปรึกษา โทร:0610367888
ปรึกษามะเร็งออนไลน์ ฟรี
LINE
top

เปรียบเทียบจริง โรงพยาบาลมะเร็งชั้นนำ 6 แห่งในจีน

ข้อมูลโปร่งใส · การวิเคราะห์อย่างมืออาชีพ · บอกลาคำพูดสวยหรู จะเลือกการรักษาที่ต่างประเทศอย่างไร? ดูแค่ครั้งเดียวก็เข้าใจ! ปรึกษาฟรี · นัดหมายทันที

การไปรักษาต่างประเทศ ไม่ได้หมายความว่าจ่ายเงินเยอะ จะยิ่งดี หรือคำสัญญาที่ฟังดูสวยหรูจะยิ่งน่าเชื่อถือ
ในช่วงไม่กี่ปีมานี้ ผู้ป่วยจำนวนมากจากประเทศไทย อินโดนีเซีย และประเทศอื่น ๆ เดินทางมารักษาในจีน แต่เมื่อได้เห็นการโฆษณาของโรงพยาบาลมะเร็งต่าง ๆ หลายคนก็เกิดข้อสงสัยว่า

  • โรงพยาบาลนี้มีบริการสำหรับผู้ป่วยต่างชาติจริงหรือ?
  • ค่าใช้จ่ายในการรักษาโปร่งใสหรือไม่?
  • ไม่เจ็บและสามารถกลับบ้านได้ทันที เชื่อถือได้หรือไม่?

เพื่อไม่ให้ผู้ป่วยต่างประเทศจำนวนมากถูกหลอกลวง,เราได้รวบรวมข้อมูลของโรงพยาบาลมะเร็งหลายแห่งที่เป็นตัวอย่าง,เปรียบเทียบเกณฑ์สำคัญ,ช่วยตัดสินใจอย่างรอบคอบ,ลดความยุ่งยาก

พเลือกโรงพยาบาลให้ถูกต้อง หลีกเลี่ยงจุดผิดพลาด|ภาพรวมการเปรียบเทียบหลายสถาบันการรักษามะเร็ง

ภาพรวมการเปรียบเทียบหลายสถาบันการรักษามะเร็ง 1 ภาพรวมการเปรียบเทียบหลายสถาบันการรักษามะเร็ง 2

ข้อมูลข้างต้นรวบรวมจากเอกสารของหลายโรงพยาบาล ใช้เพื่อเป็นข้อมูลอ้างอิงสำหรับผู้ป่วยในการตัดสินใจอย่างมีเหตุผลเท่านั้น

จุดเด่นและความได้เปรียบของโรงพยาบาลเรา

มีประสบการณ์การรักษาผู้ป่วยต่างประเทศมากมาย: ก่อตั้งปี 2005 มีประสบการณ์การรักษามะเร็งกว่า 20 ปี ให้บริการผู้ป่วยจากกว่า 196 ประเทศ มากกว่า 50,000 คน มีระบบบริการผู้ป่วยต่างประเทศที่ครบครัน (บริการแปลหลายภาษา, ศูนย์บริการระหว่างประเทศในมาเลเซียและประเทศอื่น ๆ, แนะนำการขอวีซ่า, การปรึกษาแบบ MDT ระยะไกล ฯลฯ

การรวมเทคนิคการรักษาหลากหลาย: การผ่าตัดหรือการรักษาแบบแผลเล็ก,ผสมผสานการแพทย์จีนและตะวันตก,การรวมวิธีการรักษาแบบเก็บเต้านม/เก็บอวัยวะต่าง ๆ อย่างยืดหยุ่น,สอดคล้องกับความแตกต่างของโรคแต่ละบุคคลมากขึ้น,การรักษาจะไม่ใช้วิธีเดียวกับผู้ป่วยทุกคน แต่จะปรับให้เหมาะสมกับผู้ป่วยแต่ละราย

ยึดมั่นแนวทางการแพทย์อย่างซื่อสัตย์: เราไม่เคยให้คำมั่นว่า “ไม่เจ็บและสามารถกลับบ้านได้ทันที”ทุกการรักษาจะประเมินสภาพผู้ป่วยอย่างรอบคอบตามหลักวิชาการ,ทำการดูแลฟื้นฟูหลังผ่าตัด,ให้ความสำคัญกับผลลัพธ์การรักษาระยะยาว.

มีตัวอย่างเคสจริงจำนวนมากจากต่างประเทศให้ตรวจสอบได้: เว็บไซต์อย่างเป็นทางการ,แพลตฟอร์มโซเชียล,สามารถตรวจสอบเรื่องราวการรักษาเต็มรูปแบบของผู้ป่วยจากมาเลเซียและประเทศอื่น ๆ ได้จากการบรรยายออฟไลน์หรือช่องทางอื่น ๆ,เปิดเผยและโปร่งใส,สามารถตรวจสอบยืนยันได้.

  • เราไม่ใช้คำศัพท์เกินจริงและไม่ใช้คำสัญญาที่ไม่จริง
  • เราใช้เรื่องราวการรักษาที่แท้จริง และใช้ความไว้วางใจจากผู้ป่วยมาเลเซียแต่ละคน
  • เรามุ่งเน้นไปที่ “ความจริงจัง, ความมืออาชีพ, ความน่าเชื่อถือ” สำหรับการรักษาเนื้องอกแบบแผลเล็กสำหรับผู้ป่วยที่เดินทางไปรักษาต่างประเทศ

ข้อควรระวังเกี่ยวกับความเข้าใจผิดที่พบบ่อย

การโฆษณาเกินจริงเกี่ยวกับ “ไม่เจ็บและสามารถกลับบ้านได้ทันที”: โรงพยาบาลบางแห่งใช้คำโฆษณาอย่าง “ไม่เจ็บไม่มีบาดแผล”, “ไม่ต้องใช้ยาชา”, หรือ “รักษาหายขาดในครั้งเดียว” เพื่อดึงดูดผู้ป่วย ทั้งที่ในความเป็นจริงกลับมองข้ามความแตกต่างของผู้ป่วยแต่ละรายและระยะเวลาการฟื้นตัว จึงมีความเสี่ยงในการทำให้ผู้ป่วยเข้าใจผิด

โครงสร้างค่าใช้จ่ายไม่โปร่งใส: สถาบันหลายแห่งไม่ได้เปิดเผยรายละเอียดค่าใช้จ่ายบนเว็บไซต์ทางการ ทำให้ระหว่างการรักษาอาจมีค่าใช้จ่ายแฝง เช่น ค่าตรวจเพิ่มเติม ค่าอุปกรณ์สิ้นเปลือง ค่าฟื้นฟู ฯลฯ ผู้ป่วยจึงควรระมัดระวังเป็นพิเศษ

ให้ความสำคัญกับการทำการตลาดมากกว่าการดูแลจัดการ: โรงพยาบาลจำนวนไม่น้อยมักเน้นเฉพาะขั้นตอนการรักษา แต่กลับมองข้ามการติดตามผลหลังการรักษาและการสนับสนุนการฟื้นฟู ซึ่งอาจส่งผลต่อผลลัพธ์การรักษาโดยรวม

ข้อแนะนำในการเข้ารับการรักษาอย่างรอบครอบมีเหตุผล

การรักษามะเร็งไม่ใช่การแข่งขันว่า “ใครพูดได้เข้าหูกว่า” แต่คือการแข่งขันว่า “ใครทำได้อย่างมืออาชีพกว่า” เมื่อต้องเลือกโรงพยาบาลอย่างมีเหตุผล โปรดให้ความสำคัญกับ 3 ข้อนี้เป็นหลัก:

  • 1.มีประสบการณ์ให้บริการผู้ป่วยนานาชาติและมีการรองรับการแปลหลายภาษาหรือไม่?
  • 2.มีตัวอย่างเคสจริงรองรับหรือไม่ และการรวมเทคนิคทางการแพทย์มีความยืดหยุ่นหรือเปล่า?
  • 3.รับประกันว่าการรักษามีความเหมาะสม ค่าใช้จ่ายโปร่งใส และสามารถควบคุมได้ตลอดกระบวนการรักษาหรือไม่?

เราเชื่อว่า: โรงพยาบาลที่น่าเชื่อถือจริง ไม่เคยกลัวการถูกนำไปเปรียบเทียบ

ถ้าคุณไม่แน่ใจว่าควรรักษาแบบไหน เพียงคลิกส่งคำขอ คุณจะได้รับคำแนะนำจากผู้เชี่ยวชาญ

“ไม่เจ็บและสามารถกลับบ้านได้ทันที” น่าเชื่อถือจริงหรือ? ความจริงอยู่ที่นี่

บนโลกออนไลน์และในคลิปวิดีโอสั้น ผู้ป่วยหลายคนมักเจอคำโฆษณาลักษณะคล้ายกันว่า:

  • ▶ “ไม่เจ็บเลย ทำเสร็จแล้วกลับบ้านได้ทันที!”
  • ▶ “ไม่ต้องผ่าตัด ออกจากโรงพยาบาลวันเดียว รักษาหายขาด ไม่มีการกลับมาใหม่!”
  • ▶ “รักษาครั้งเดียว ไม่ต้องกังวลตลอดชีวิต!”

คำโฆษณาเหล่านี้ดูเหมือนง่ายและดึงดูด แต่ส่วนใหญ่ไม่ได้ระบุขนาดของเนื้องอก ระยะของโรค ความแตกต่างของร่างกายผู้ป่วยแต่ละคน หรือแผนการฟื้นตัวหลังการรักษา จึงง่ายต่อการทำให้ผู้ป่วยเข้าใจผิด คิดว่าการรักษาง่ายเหมือนการผ่าตัดเล็ก

สโลแกนโฆษณา

เตือนอย่างมีเหตุผล

รงพยาบาลที่มืออาชีพจริง จะไม่ใช้คำว่า “ไม่เจ็บและสามารถกลับบ้านได้ทันที” เป็นจุดขาย แต่จะอธิบายแผนการรักษาที่แท้จริง การประเมินความเสี่ยง และการจัดการหลังผ่าตัดให้ชัดเจน เพื่อให้ผู้ป่วยและครอบครัวเข้าใจสถานการณ์อย่างถ่องแท้ หากเพียงแต่พูดว่า “ไม่เจ็บ ไม่รู้สึก แล้วกลับบ้านได้ทันที” โดยไม่ให้คำอธิบายเกี่ยวกับความเสี่ยงเฉพาะบุคคล หรือแผนการติดตามผลหลังผ่าตัด นั่นแหละคือความเสี่ยงที่แท้จริง

เรื่องราวการรักษาจริงของผู้ป่วยข้ามประเทศ

ลุงเหลย

ประเทศไทย – มะเร็งกระเพาะปัสสาวะ หลังผ่าตัดมีการแพร่กระจายหลายจุด

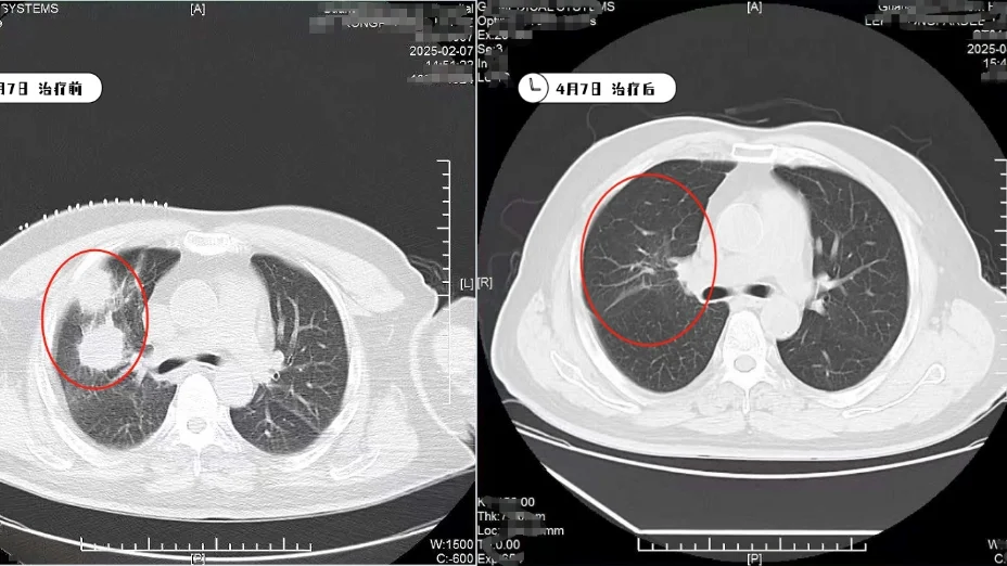
“ฉันต่อสู้กับมะเร็งในประเทศไทยมานาน 5 ปี การทำเคมีบำบัดและการผ่าตัดทำให้ฉันอ่อนแรงจนต้องนอนรอความตายอยู่บนเตียง เมื่อพบว่ามะเร็งแพร่กระจายไปปอด ร่างกายของฉันก็ไม่สามารถทนต่อการรักษาได้อีก ด้วยความหวังเพียงเล็กน้อยสุดท้าย ฉันจึงมาที่ประเทศจีน”
เมื่อฉันมาถึงโรงพยาบาลมะเร็งสมัยใหม่กว่างโจว มะเร็งปอดของฉันได้ลุกลามไปยังซี่โครง และการทำงานของไตใกล้ล้มเหลว แพทย์ไม่ได้ทำเคมีบำบัดต่อไปอย่างรุนแรง แต่ช่วยปรับสภาพร่างกายให้คงที่ก่อน ในเดือนกุมภาพันธ์ 2025 ฉันได้รับการทำ Kangbo Knife Cryoablation (การทำลายเนื้องอกด้วยความเย็น) ซึ่งแทบไม่เจ็บ หลังการรักษาหนึ่งวันฉันก็สามารถลุกจากเตียงได้ หลังจากนั้นได้รับการรักษาร่วมกับ Vidici-therapy ทำให้ขนาดเนื้องอกลดลงอย่างเห็นได้ชัดประมาณ 90%
จากที่แทบหมดลมหายใจ จนสามารถขับรถพาภรรยาไปเที่ยวได้ ผมรู้สึกอย่างแท้จริงว่า การมาที่ประเทศจีน เป็นการเลือกที่ให้ผมมีชีวิตใหม่

patient ct

แอนนี่

อินโดนีเซีย – มะเร็งหลังโพรงจมูกระยะที่ 4

“อย่ายอมแพ้ รักษาอย่างต่อเนื่องและรักษาวินัยที่ดีไว้ เชื่อว่าอาการจะดีขึ้นแน่นอน!”
เธอมีอาการหูอื้อและคัดจมูกในปี 2014 และถูกวินิจฉัยว่าเป็นมะเร็งหลังโพรงจมูก ซึ่งภายในเวลาเพียงสองเดือนโรคก็ลุกลามอย่างรวดเร็วเข้าสู่ระยะที่ 4 หลังจากปฏิเสธการทำเคมีบำบัดและรังสีรักษา เธอได้เดินทางมารักษาที่โรงพยาบาลมะเร็งสมัยใหม่กวางโจว แสตมฟอร์ด ด้วยวิธีการรักษาแบบคีโมเฉพาะจุด (การรักษาแบบเฉพาะจุด) เพียงสองครั้ง เนื้องอกในโพรงจมูกและหลังใบหูลดขนาดลงอย่างเห็นได้ชัด อาการต่าง ๆ หายไป เมื่อทำการตรวจติดตามผลในปี 2017 พบว่า CT แสดงให้เห็นว่าเนื้องอกหายไปอย่างสมบูรณ์ และไม่พบสัญญาณการกลับมาเป็นซ้ำใด ๆ

patient ct

ยูวันนา แม่ทัพ

ประเทศไทย – มะเร็งปอดกลับมาแพร่หลังผ่าตัด

“การรักษาแบบคีโมเฉพาะจุดปลอดภัยและมีประสิทธิภาพกว่าที่เราคิดไว้มาก นี่คือเหตุผลสำคัญที่ทำให้เราตัดสินใจมาที่นี่”
เขาถูกวินิจฉัยว่าเป็นมะเร็งปอดในปี 2021 และเข้ารับการผ่าตัดรวมถึงเคมีบำบัด–รังสีบำบัดในประเทศไทย แต่โรคยังคงกลับมาและแพร่กระจาย เนื่องจากอายุมากและมีความดันโลหิตสูงขั้นรุนแรง ทำให้ไม่สามารถรับการรักษาแบบดั้งเดิมได้อีก ในเดือนมีนาคม 2023 หลังมาถึงโรงพยาบาล ทีม MDT ได้ทำการรักษาแบบคีโมเฉพาะจุดไมโครอินเวซิฟร่วมกับการฝังเม็ดรังสีและการรักษาภูมิคุ้มกัน เพียง 2 ครั้ง เนื้องอกลดลง 60% อาการหายใจลำบากหายไป จากที่ต้องนั่งรถเข็นตอนเข้ารักษา ก็สามารถเดินได้ด้วยตนเอง คุณภาพชีวิตดีขึ้นอย่างเห็นได้ชัด

patient ct

การตัดสินใจอย่างมีเหตุผล สำคัญกว่าการโฆษณา

การรักษามะเร็ง ไม่ได้ขึ้นอยู่กับว่าใครตะโกนเสียงดังกว่า แล้วจะน่าเชื่อถือกว่า
โรงพยาบาลที่มีความรับผิดชอบอย่างแท้จริง จะไม่ใช้คำโฆษณาอย่าง “ไม่เจ็บ เดินกลับได้ทันที” หรือ “รักษาครั้งเดียวหายขาด” มาดึงดูดผู้ป่วย แต่จะใช้เคสจริง แผนการรักษาเฉพาะบุคคล และการดูแลอย่างมืออาชีพตลอดทุกระยะ เพื่อช่วยให้ผู้ป่วยมีเวลาเพิ่มขึ้น และมีคุณภาพชีวิตที่ดียิ่งกว่า

เราเชื่อว่า:

โฆษณาสามารถก็อปปี้วางได้ แต่ความเป็นมืออาชีพไม่สามารถปลอมแปลงได้
แผนการรักษาทุกแผน ควรได้รับการปรับให้เหมาะสมตามสภาพร่างกายของผู้ป่วยอย่างมีประสิทธิภาพ
ผู้ป่วยทุกคน สมควรได้รับเรื่องราวการต่อสู้กับมะเร็งที่ตรวจสอบได้จริง ไม่ใช่แค่ความหวือหวาหรือคำโฆษณาสวยหรู

ปรึกษาเลย เพื่อความมั่นใจ ถ้าคุณหวังว่า

  • ไม่ถูกหลอกด้วยคำพูดเกินจริง
  • มีทีมหลายสาขา (MDT) ทำแผนรักษาให้เฉพาะคุณ
  • เห็นผลการรักษาจากผู้ป่วยต่างชาติจริง
  • ปรึกษาวิดีโอออนไลน์ก่อน ตัดสินใจเรื่องการรักษาข้ามประเทศ

กรุณาทิ้งข้อมูลติดต่อไว้ ทีมที่ปรึกษาต่างประเทศของเราจะติดต่อคุณแบบตัวต่อตัว ตอบคำถามอย่างละเอียด และช่วยเตรียมแผนการรักษาและการเดินทางให้

แบบฟอร์มการนัดหมาย close
กรุณากรอกข้อมูลของคุณแล้วเราจะติดต่อคุณโดยเร็วที่สุด
ติดต่อทันที