ชีวิตที่กลับมาเริ่มใหม่อีกครั้ง: ประสบการณ์รักษามะเร็งเยื่อบุโพรงมดลูกในต่างแดน
เมื่อชีวิตถูกถาโถมด้วยข่าวร้ายครั้งแล้วครั้งเล่า ฟู อ้ายฉิน ชาวจีนโพ้นทะเลชาวมาเลเซีย วัย 59 ปี เคยคิดว่าบทชีวิตของตนกำลังเดินทางเข้าสู่ตอนจบแล้วแต่การเดินทางเพื่อเข้ารับการรักษาพยาบาลจากมาเลเซียสู่ประเทศจีนซึ่งข้ามพรมแดนและข้ามขีดจำกัดครั้งนี้กลับกลายเป็นจุดเริ่มต้นที่เปิดหน้าประวัติชีวิตบทใหม่ให้กับเธออย่างไม่คาดคิด
โรคร้ายถาโถมกะทันหัน: จาก “การรักษาแบบมาตรฐาน” สู่การยุติการรักษา
ในเดือนกันยายน ปี 2024 ฟู อ้ายฉิน ซึ่งเข้าสู่วัยหมดประจำเดือนและหยุดมีประจำเดือนไปแล้ว กลับมีอาการประจำเดือนมาไม่สม่ำเสมอและมีเลือดออกจำนวนมากอย่างกะทันหัน หลังเข้ารับการตรวจที่โรงพยาบาลท้องถิ่นในมาเลเซีย แพทย์แนะนำให้เธอผ่าตัดตัดมดลูกทันที ผลพยาธิวิทยาหลังผ่าตัดสร้างความตกตะลึงให้กับทุกคน — มะเร็งเยื่อบุโพรงมดลูก ภายใต้แนวคิดการรักษาแบบเดิมของท้องถิ่นที่ว่า “พบปัญหาก็ตัดออก” เธอจึงเริ่มเข้าสู่กระบวนการรักษาเป็นเวลา 5 สัปดาห์ทันที ประกอบด้วย เคมีบำบัด 5 ครั้ง และ การฉายรังสี 25 ครั้ง
ฟู อ้ายฉิน
อย่างไรก็ตาม ผลข้างเคียงจากการรักษากลับเกือบทำให้เธอทรุดลงอย่างรุนแรง “ฉันกินอะไรแทบไม่ได้ เดินก็ไม่มีแรง ร่างกายอ่อนเพลียมาก” ฟู อ้ายฉินเล่าย้อนความทรงจำในช่วงเวลานั้น ในตอนนั้น เธอแทบจะฝืนกินอาหารเพียงเพื่อประคองชีวิตไว้ “อาจจะกินข้าวได้ไม่ถึงครึ่งถ้วยด้วยซ้ำ” เมื่อแพทย์เสนอให้เข้ารับการรักษาด้วยเคมีบำบัดและรังสีรักษาชุดที่สอง (สูตรเข้มข้น) เธอซึ่งทั้งร่างกายและจิตใจอ่อนล้าอย่างถึงที่สุดจึงตัดสินใจปฏิเสธการรักษาอย่างเด็ดขาด
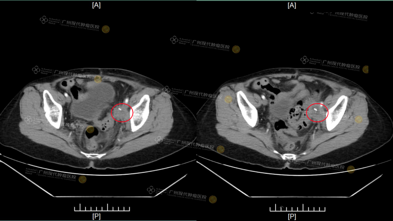
หลังจากปฏิเสธการรักษา ฟู อ้ายฉิน ดูราวกับยอมปล่อยวางความหวังทั้งหมดเธอเพียงต้องการใช้ชีวิตที่เหลืออยู่อย่างสงบให้มากที่สุด แต่ในเดือนสิงหาคม ปี 2025 ก้อนมะเร็งและความเจ็บปวดกลับถาโถมเข้ามาอีกครั้ง ต่อมน้ำเหลืองในอุ้งเชิงกรานกลับมาเป็นซ้ำและขยายใหญ่มีขนาดประมาณ 3.9 × 3.3 ซม.กดทับเส้นประสาทที่ขาส่งผลให้ขาซ้ายบวมอย่างรุนแรง ขณะเดียวกันตับก็พบรอยโรคแพร่กระจายใหม่ขนาดประมาณ 0.9 × 1.6 ซม. “ตอนนั้นฉันทำได้เพียงพึ่งยาแก้ปวดขนาดสูง เพื่อให้ตัวเองพอจะนอนหลับผ่านแต่ละวันไปได้” เธอกล่าวความเจ็บปวดและความสิ้นหวังอยู่เคียงข้างทั้งกลางวันและกลางคืนจนเธออดตั้งคำถามในคำอธิษฐานไม่ได้ว่า “ชีวิตที่เหลืออยู่ของฉัน จะต้องเป็นเช่นนี้ตลอดไปจริงหรือ?”

(CT ภาพนี้เป็นผลการตรวจขณะเข้ารับการรักษาในโรงพยาบาลของเรา เมื่อวันที่ 22 กันยายน)
แสงสว่างท่ามกลางทางตัน: จากคำอธิษฐานในความสิ้นหวัง สู่ประตูแห่งความหวัง
ในห้วงเวลาที่สิ้นหวังจนแทบไม่เหลือความคิดใด ๆจุดเปลี่ยนกลับมาเยือนอย่างไม่คาดฝัน — ป้าของฟู อ้ายฉิน ที่อาศัยอยู่ในเมืองปีนังได้ส่งข้อมูลเกี่ยวกับ งานบรรยายด้านการรักษามะเร็ง มาให้เธอในตอนแรก ฟู อ้ายฉินซึ่งมีสภาพร่างกายและจิตใจย่ำแย่อย่างมากแทบไม่สนใจข้อมูลจากภายนอกใด ๆ เลยข่าวสารนี้ถูกส่งต่ออยู่หลายครั้งจนในที่สุด สามีของเธอได้พาเธอไปเข้าร่วมงานบรรยายดังกล่าวหลังเสร็จสิ้นพิธีนมัสการในวันอาทิตย์ งานบรรยายนั้นจัดโดยโรงพยาบาลมะเร็งสมัยใหม่กว่างโจวและบรรยายโดยศาสตราจารย์หลิน จิง ซึ่งเป็นก้าวแรกที่นำพาเธอเข้าใกล้ประตูแห่งความหวังอีกครั้ง
“เมื่อฉันได้ฟังการแบ่งปันประสบการณ์ของศาสตราจารย์หลิน ก็รู้สึกเหมือนมีแสงสว่างขึ้นมาตรงหน้าในทันที” ฟู อ้ายฉินกล่าว“ถึงได้รู้ว่าที่จริงแล้วยังมีเทคโนโลยีการรักษาที่ล้ำหน้าเช่นนี้อยู่ ซึ่งก่อนหน้านี้เราไม่เคยรับรู้มาก่อนเลย”เทคโนโลยีการรักษาแบบแผลเล็กที่ถูกแนะนำในงานบรรยายทั้ง การฝังแร่ และ การรักษาแบบคีโมเฉพาะจุดด้วยจุดเด่นด้านการบาดเจ็บน้อยแต่ให้ผลการรักษาสูงราวกับเปิดโอกาสใหม่และทำให้เธอมองเห็นความเป็นไปได้ของชีวิตอีกครั้ง


(บรรยากาศกิจกรรมบรรยายของศาสตราจารย์หลิน จิง เมื่อเดือนกันยายน ปี 2025)
แม้ในขณะนั้น ฟู อ้ายฉินจะได้รับการวินิจฉัยว่าเป็นมะเร็งเยื่อบุโพรงมดลูกระยะที่ 4 แล้วก็ตามแต่หลังจากศาสตราจารย์หลิน จิงได้วิเคราะห์รายงานผลการตรวจของเธออย่างละเอียดก็ยังคงให้คำตอบที่หนักแน่นและชัดเจนว่า“ยังสามารถรักษาได้”สิ่งที่ทำให้เธอรู้สึกอุ่นใจยิ่งขึ้นคือเมื่อทราบว่าโรงพยาบาลมะเร็งสมัยใหม่กว่างโจวได้จัดตั้ง ศูนย์บริการนานาชาติในกรุงกัวลาลัมเปอร์และดำเนินงานมาแล้วเป็นเวลากว่า 10 ปี ซึ่งช่วยคลายความกังวลและข้อสงสัยของทั้งสองคนลงได้อย่างมาก ในวันเดียวกับที่การบรรยายสิ้นสุดลง สามีภรรยาแทบไม่ต้องลังเลเลยแม้แต่น้อย “พวกเราตัดสินใจทันทีในวันนั้น ซื้อตั๋วเครื่องบินสำหรับสัปดาห์ถัดไปเพื่อเดินทางไปรักษาไม่มีความคิดอื่นใดอีก”
การรักษาอย่างแม่นยำ พลิกสถานการณ์: เทคโนโลยีแผลเล็กที่แทบไม่มีผลข้างเคียง เปลี่ยนผลลัพธ์การรักษา
เมื่อวันที่ 21 กันยายน 2025 ฟู อ้ายฉินได้เข้ารับการรักษาในโรงพยาบาลโดยมีสามีคอยอยู่เคียงข้าง ในขณะนั้นอาการของเธออยู่ในภาวะที่น่าเป็นห่วงอย่างยิ่งขาซ้ายเกิดภาวะลิ่มเลือดอุดตันในหลอดเลือดดำเนื่องจากต่อมน้ำเหลืองในอุ้งเชิงกรานกดทับเป็นเวลานานส่งผลให้การเดินลำบากทั้งสภาพร่างกายและจิตใจตกอยู่ในจุดต่ำสุด หลังจากตรวจประเมินอาการอย่างครบถ้วนแล้ว
ทีมแพทย์สหสาขาวิชาชีพ (MDT) ของโรงพยาบาลมะเร็งสมัยใหม่กว่างโจว ได้ออกแบบแผนการรักษาเฉพาะบุคคลให้กับเธอ
โดยใช้แนวทางการรักษาแบบแผลเล็กผสานกันได้แก่การรักษาคีโมเฉพาะจุดแบบอุดหลอดเลือดร่วมกับการฝังแร่เฉพาะจุดเพื่อเพิ่มประสิทธิภาพการรักษาและลดผลกระทบต่อร่างกายให้มากที่สุด
ศาสตราจารย์ หลิน จิง ได้อธิบายว่าหากทำการผ่าตัดซ้ำอีกครั้งจะก่อให้เกิดการบาดเจ็บต่อผู้ป่วยอย่างรุนแรงขณะเดียวกันการกลับมารับเคมีบำบัดและรังสีรักษาในระยะเวลาอันสั้นก็มีความเสี่ยงสูงที่จะทำให้กระเพาะปัสสาวะ ลำไส้ตรงและอวัยวะภายในอุ้งเชิงกรานเกิดความเสียหายจากรังสีข้อได้เปรียบของแนวทางการรักษาแบบแผลเล็กอยู่ที่ความบาดเจ็บน้อยแม่นยำและปลอดภัย
ผลการรักษาปรากฏชัดอย่างรวดเร็ว—หลังการรักษาครั้งแรกเสร็จสิ้นอาการปวดท้องที่ทรมานเธอมานานก็หายไปหลังการรักษาครั้งที่สองการไหลเวียนเลือดที่ขากลับมาดีขึ้นอาการบวมของขาซ้ายลดลงอย่างเห็นได้ชัด“สิ่งนี้ทำให้ฉันมีความมั่นใจอย่างมาก” ฟู อ้ายฉินเล่าด้วยความตื่นเต้น“หลังจบการรักษาครั้งที่สี่ ได้ทำการตรวจ PET Scanก็เห็นได้ชัดจริงๆว่าก้อนมะเร็งหดเล็กลงอย่างมาก”ตลอดระยะเวลาการรักษา 3 เดือน จนถึงปัจจุบันต่อมน้ำเหลืองในอุ้งเชิงกรานของฟู อ้ายฉินแทบจะไม่มีกิจกรรมของโรคเหลืออยู่แล้ว ก้อนมะเร็งที่ตับ หายไปโดยไม่พบรอยโรคการประเมินผลการรักษาโดยรวมสามารถจัดอยู่ในระดับ PR

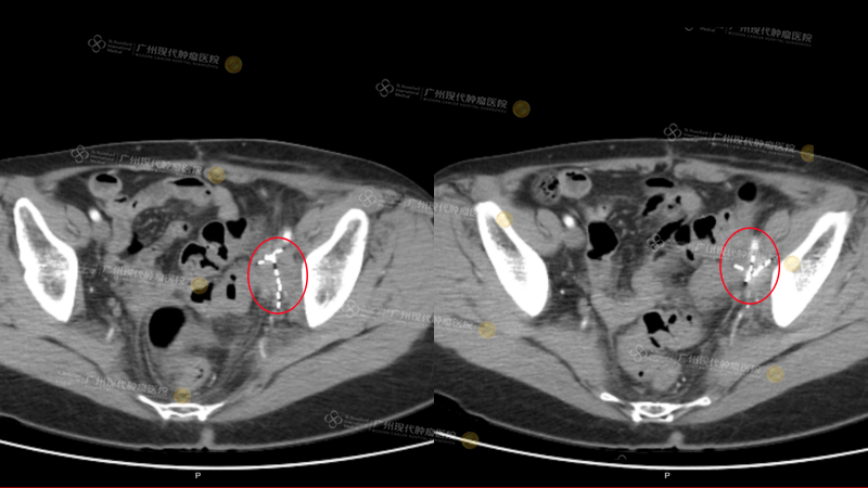
(อุ้งเชิงกราน: หลังการรักษา 2 ครั้ง ก้อนมะเร็งหดเล็กลง 80%) (บริเวณสีขาวที่ไฮไลต์ คือเมล็ดแร่ที่ทำการฝัง)

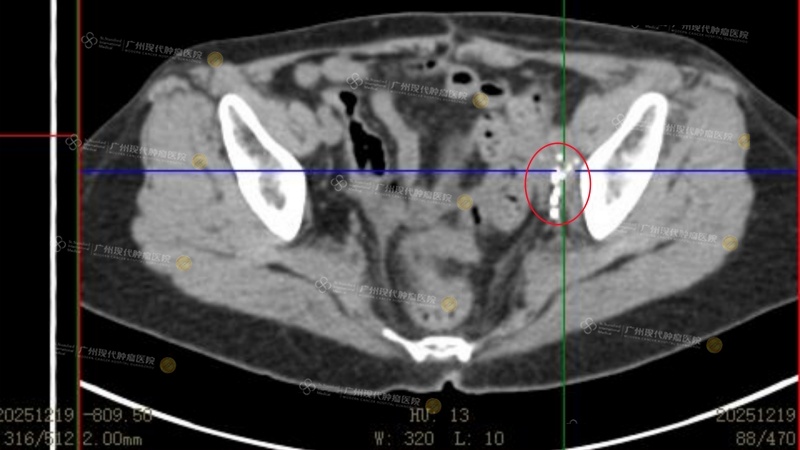
(หลังรักษา 4 ครั้ง ผลตรวจติดตามเมื่อวันที่ 19 ธันวาคม 2025 แสดงให้เห็นว่าก้อนมะเร็งแทบจะไม่มีกิจกรรมหลงเหลืออยู่แล้ว)
สิ่งที่ทำให้เธอประหลาดใจยิ่งกว่านั้นคือกระบวนการรักษาเอง“แทบไม่มีผลข้างเคียงเลยไม่ว่าจะเป็นอาการอาเจียนหรือเบื่ออาหารก็ไม่มีเพียงแค่ในวันที่ทำการรักษาแบบหัตถการเสร็จฉันต้องนอนพักบนเตียง 24 ชั่วโมงหลังจากนั้นก็สามารถรับประทานอาหารและใช้ชีวิตประจำวันได้ตามปกติ”ประสบการณ์นี้แตกต่างจากความทรมานที่เธอเคยเผชิญจากการทำเคมีบำบัดและการฉายรังสีก่อนหน้านี้ราวฟ้ากับดิน

“สิ่งที่สำคัญที่สุดคือการฟื้นตัวของฉันเห็นได้ชัดในทุกด้านด้วยตาเปล่า”ฟู อ้ายฉิน กล่าวด้วยรอยยิ้ม “ตอนที่เพิ่งเข้ารับการรักษา ฉันแค่อยากหลบอยู่เงียบๆในห้องแต่ตอนนี้ฉันเริ่มอยากออกไปพบปะผู้คนและพร้อมจะสร้างมิตรภาพใหม่ๆแล้ว”การเปลี่ยนแปลงจากภายในสู่ภายนอกเช่นนี้ทำให้เธอได้ค้นพบ ความกล้าในการใช้ชีวิตและ ความสุขของการมีชีวิตอยู่อีกครั้ง
การฟื้นฟูชีวิตใหม่: ค้นพบ “บ้านหลังที่สอง” ในต่างแดน
“ที่นี่ตั้งแต่ศาสตราจารย์หลินจิงไปจนถึงแพทย์ประจำตัวและทีมพยาบาลทุกคนรวมกันเป็น‘ทีมเฉพาะบุคคล’ที่ยึดฉันเป็นศูนย์กลาง” ฟู อ้ายฉินเล่าย้อนความทรงจำ“ก่อนการรักษาทุกครั้งศาสตราจารย์หลิน จิง จะอธิบายแผนการรักษาให้เข้าใจอย่างอดทนและละเอียดขณะที่ทีมพยาบาลก็ใส่ใจสังเกตและดูแลความเปลี่ยนแปลงทางอารมณ์ของฉันอย่างใกล้ชิด”
(ศาสตราจารย์หลิน จิง ตรวจเยี่ยมผู้ป่วยเป็นประจำ พร้อมให้ความใส่ใจอาการของคุณฟูอย่างใกล้ชิด)

(สองสามีภรรยาถ่ายภาพร่วมกับศาสตราจารย์หลิน จิงและทีมแพทย์พยาบาล)
สามีของฟู อ้ายฉิน คุณอู๋ รู้สึกซาบซึ้งใจเป็นอย่างยิ่ง เขากล่าวว่า“ตั้งแต่หลังการรักษาครั้งแรก ภรรยาของผมก็ดีขึ้นอย่างเห็นได้ชัดพวกเรามองหน้ากันแล้วพูดกับอีกฝ่ายว่า‘การตัดสินใจของเราครั้งนี้ เราเลือกไม่ผิดจริงๆ’”

(สองสามีภรรยาพิงพิงอิงแอบกันอย่างอบอุ่น)
ในจดหมายขอบคุณถึงโรงพยาบาลสองสามีภรรยาได้ถ่ายทอดความรู้สึกจากใจอย่างจริงใจว่า“ขอขอบคุณบุคลากรทางการแพทย์ทุกท่านของโรงพยาบาลขอบคุณศาสตราจารย์หลิน ขอบคุณคุณหมอตงรวมถึงเจ้าหน้าที่ทุกคนที่นี่ได้กลายเป็น บ้านหลังที่สองของพวกเรา ไปแล้ว”


(จดหมายขอบคุณที่เขียนด้วยลายมือของสองสามีภรรยา)
จากหัวใจที่ซาบซึ้ง: สามีภรรยาร่วมกันส่งต่อความหวัง
วันนี้ ฟู อ้ายฉินที่ได้เริ่มต้นชีวิตใหม่อีกครั้ง พร้อมด้วยสามีได้นำ ความสำนึกในบุญคุณแปรเปลี่ยนเป็นการลงมือทำกลายเป็นผู้ถ่ายทอดและสนับสนุนการรักษาแบบแผลเล็กอย่างจริงจังหลังกลับสู่ประเทศมาเลเซียทั้งสองเริ่มแบ่งปันประสบการณ์นี้ให้กับผู้คนรอบตัวแม้แต่ในการพูดคุยกับเภสัชกรตามร้านขายยาพวกเขาก็ยังตั้งใจแนะนำแนวคิดการรักษาแบบแผลเล็กพร้อมแบ่งปันข้อมูลเกี่ยวกับโรงพยาบาลมะเร็งสมัยใหม่กว่างโจวเพื่อส่งต่อความหวังให้กับผู้ที่กำลังเผชิญเส้นทางเดียวกัน
โรงพยาบาลมะเร็งสมัยใหม่กว่างโจวก่อตั้งมาแล้วกว่า20ปีนั่นก็หมายความว่าเทคโนโลยีการรักษาแบบแผลเล็กนี้มีอยู่ในประเทศจีนมานานกว่า 20 ปี เช่นกันแต่พวกเรากลับไม่เคยรู้มาก่อนเลย”ฟู อ้ายฉินกล่าวด้วยความจริงใจ“ฉันรู้สึกชื่นชมจากใจจริงอย่างยิ่งดังนั้นสิ่งที่พวกเราพอจะทำได้ก็คือใช้ความสามารถเท่าที่มีช่วยแบ่งปันข่าวดีนี้ออกไปส่งต่อให้กับผู้ที่กำลังต้องการเพื่อให้พวกเขาได้มีความกล้าในการลุกขึ้นยืนอีกครั้งและมีโอกาสเริ่มต้นชีวิตใหม่เช่นเดียวกับฉัน”
จากการยอมแพ้ต่อการรักษา สู่การเริ่มต้นชีวิตใหม่อีกครั้งเส้นทาง “การเกิดใหม่” ตลอดสามเดือนของฟู อ้ายฉิน คือถนนที่ถูกปูขึ้นจาก ความสิ้นหวัง โอกาส ความเชื่อมั่น เทคโนโลยีและ การดูแลด้วยหัวใจความเป็นมนุษย์ ร่วมกันวันนี้ ผู้ป่วยมะเร็งเยื่อบุโพรงมดลูกคนนี้ซึ่งครั้งหนึ่งเคยถูกความเจ็บปวดทรมานจนทั้งกายและใจแทบพังทลายกำลังใช้ชีวิตใหม่ของตนเองเพื่อส่งต่อความเชื่อมั่นอันหนักแน่นสู่โลกว่าเมื่อเผชิญหน้ากับโรคมะเร็งอย่ายอมแพ้ยังมีหนทางที่ดีกว่าและยังมีวิธีการที่ควรค่าแก่การลองเสมอ